Wenn das Leben auf kleiner Flamme brennt, Freiheit etwas ist, wofür man sich am liebsten mit dem Teufel einlassen würde; wenn man jeden Tag Schlimmes erwartet, obwohl man sich bemüht, das Gute zu fokussieren, und sich der Alltag wie ein endloser Marsch mit abgesägten Beinen anfühlt, dann wünscht man sich manchmal, allen anderen möge es auch so ergehen.… Weiterlesen
Instabile Kopfgelenke
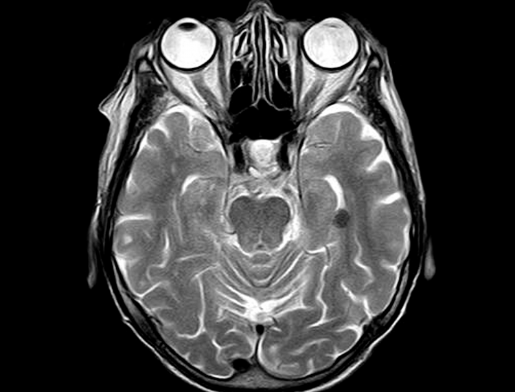
COVID-19 und CCI/AAI – gehöre ich zur Risikogruppe?
Die kurze Antwort lautet: Definitiv! CCI/AAI, ob ausgelöst durch einen Unfall oder infolge einer Bindegewebserkrankung, schafft es, zahlreiche Schutzvorrichtungen des Organismus gegen krankheitsauslösende Eindringlinge zu drosseln. COVID-19 nimmt also genaugenommen keine Sonderrolle ein.… Weiterlesen
Sterben ist endlich erlaubt!
Das deutsche Verfassungsgericht hat entschieden: Sterben ist ab sofort erlaubt! Ein Grund zum Jubeln, wie ich finde, insbesondere für Menschen, die den Zeitpunkt ihres Todes nicht von der mechanischen Beharrsamkeit einer Maschine abhängig sehen wollen. Und auch ich atme auf. … Weiterlesen
CCI/AAI und Beziehung
Als mein Mann und ich geheiratet haben, versprachen wir uns, immer füreinander da zu sein. In guten sowie in schlechten Zeiten. Woher sollten wir wissen, dass schlechten Zeiten wirklich existieren?… Weiterlesen
Wie lange denn noch????????
Diese Frage höre ich wirklich oft – meist bezogen auf mein Studium. Doch ich kann (und will) sie partout nicht beantworten. … Weiterlesen
CCI/AAI – immer dabei
Mein Symptomregenbogen ist treuer als ein Schatten. Er ist bei mir, ob die Sonne scheint oder nicht. So auch gestern in einem Seminar für Psychologiestudierende. … Weiterlesen
Ich will auch Krebs!
In einem ihrer Bücher behauptet die weltberühmte Sterbeforscherin Elisabeth Kübler-Ross etwas sehr Eigenartiges: „Auch möchte ich darauf hinweisen, daß es ein Segen für viele ist, Krebs zu haben.“… Weiterlesen
Als Alien ganz allein
Kennt ihr das? Wenn ihr euch ausnahmsweise dazu hinreißen lasst, ganz kurz eure Maske abzulegen und der Welt zeigt, dass es euch schlecht geht? … Weiterlesen
Schlechter Scherz
Seitdem ich beschlossen habe, gesund zu sein, bin ich es – einigermaßen. Ganz sicher mehr als vor zwei Jahren. Doch was bedeutet das? War alles Einbildung? Bin ich ein Wunder? Bin ich verrückt?… Weiterlesen
Elternabende
Seid ihr Eltern? Dann wart ihr bestimmt schon mal auf einem Elternabend. Ich nicht – obwohl ich ein Elter bin. … Weiterlesen









