Ich sitze gerade auf der Couch, aber es fühlt sich so an, als hätte jemand mein Sicherheitsseil durchtrennt und mir danach einen Schubs gegeben. In letzter Zeit baumle ich öfter am Rand einer Klippe, kaum noch in der Lage mich hochzuziehen.… Weiterlesen
Nähkästchen
Mein Blog ist nur eine Sammlung neuster Informationen zum Thema instabile Kopfgelenke, sondern insbesondere eine Art Tagebuch, mit dessen Hilfe ich gut beobachten kann, wie sich meine Erkrankung entwickelt. Somit gehört es sich natürlich auch, dass ich ab und an aus dem Nähkästchen plaudere. :)
Ein Artikel über ME, CCI, Fusion und Hoffnung
Ein neuer Hinweis kam soeben hereingeflattert. Diesmal führte er mich zu einem aktuellen Artikel in The Sick Times vom 22. April 2025. Er beschreibt, wie der Neurochirurg Dr. Paolo Bolognese mit Hilfe der kraniozervikalen Fusion (CCF) schwerwiegende Fälle von Myalgischer Enzephalomyelitis (ME) behandelt.… Weiterlesen
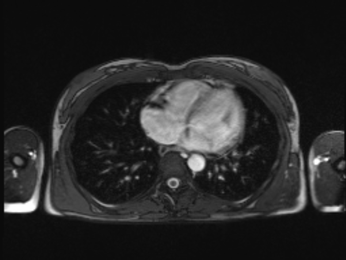
Kurzer Ausflug ins MRT: Aorta-Schnappschüsse und Gewürm
Ständig predige ich Wein und trinke Wasser. Oder andersrum? Jedenfalls war ich heute, nachdem ein Angiologe mir bereits vor drei Jahren zur Abklärung einer Auffälligkeit an meiner Aorta ein MRT empfohlen hatte, endlich in der Radiologie und ließ mich durchleuchten. Noch habe ich keinen Bericht, aber wenn es euch interessiert, könnt ihr trotzdem ruhig mal einen Blick auf mein Inneres werfen.… Weiterlesen
„Du hattest nie CCI“: Mein Senf dazu
Momentan bin ich zwar überaus überfrachtet, aber ich wollte nun doch mal ein wenig Senf zu folgender Aussage verschmieren: „Du hattest nie CCI.“ Schreiben dauert, also müsst ihr heute mal mit einer zerknautschten Sprachnachricht aus dem Bett vorliebnehmen nehmen.
Was sagt der Herzbeutel?
Ihr Lieben, in nächster Zeit möchte ich mich so gut es geht auf den Rest meines Studiums konzentrieren. Keine Sorge, Beiträge wird es weiterhin geben, denn die sind längst vorbereitet und werden ab jetzt nach und nach ganz automatisch für euch sichtbar – sodass ich mich klammheimlich zurückziehen kann.… Weiterlesen
Statement: Wenn Aufklärung Explosionen auslöst
Die Sensibilisierungsarbeit auf Social-Media-Plattformen hat eine erhebliche Bedeutung erlangt, was insbesondere Menschen mit chronischen Krankheiten zu Gute kommt. Es ermöglicht den Aufbau von Gemeinschaften, fördert den Austausch, die Vertiefung von Wissen und bietet eine Plattform, um auf Missstände aufmerksam zu machen.… Weiterlesen
Geschichtenerzähler und Undercoverpatienten gesucht!
In letzter Zeit überkommt mich oft das Gefühl, nicht mehr so richtig mitreden zu können. Zwar habe ich viele CCI-Symptome kennengelernt und bin wie durch eine Waschstraße mit lauter Diagnostikmöglichkeiten und Therapien in Berührung gekommen. Doch meine Erlebnisse zeigen letztendlich nur einen kleinen Ausschnitt aus dem riesigen CCI-Kosmos.… Weiterlesen
Frohe Ostern!
Ihr Lieben, ich wünsche euch ein wunderschönes Osterfest, das ihr hoffentlich mit richtig fröhlichen Mitochondrien verbringen dürft! Gönnt euch Ruhe, umgebt euch mit Menschen, die euch gut tun, hört eure Lieblingsmusik, nascht ordentlich Schokolade (am besten dunkle) und habt viel Spaß bei der Eiersuche!… Weiterlesen
Zweite Chance: Ist Weiterziehen undankbar?
Manchmal brüte ich über der Frage, ob es erlaubt ist, sich nach etwas zu sehnen, was verglichen mit dem Kostbarsten, was es gibt, eigentlich nur Missachtung verdient haben sollte. So auch jetzt. Wir suchen ein Haus. Aber irgendwie kommt mir das unpassend vor.… Weiterlesen
CCI und Heilung: Einmal Zombie und zurück
CCI und Heilung, zwei Begriffe, die sich zueinander verhalten wie gleiche Magnetpole. Zum Glück sind Naturgesetze, besonders solche, die unser Verständnis stark herausfordern, nicht immer so vorhersehbar wie wir glauben. Bei CCI ist das ähnlich. Da wir vieles darüber noch nicht wissen, wäre es übereilt anzunehmen, man könnte es nicht heilen.… Weiterlesen








