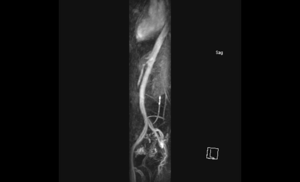
Ständig predige ich Wein und trinke Wasser. Oder andersrum? Jedenfalls war ich heute, nachdem ein Angiologe mir bereits vor drei Jahren zur Abklärung einer Auffälligkeit an meiner Aorta ein MRT empfohlen hatte, endlich in der Radiologie und ließ mich durchleuchten. Noch habe ich keinen Bericht, aber wenn es euch interessiert, könnt ihr trotzdem ruhig mal einen Blick auf mein Inneres werfen.


Schräge Nieren, krumme Aorta

So entblößt werdet ihr mich nie wieder sehen, also genießt diesen Anblick. Oder betrachtet es als einmaligen und hoffentlich verzeihlichen Ausrutscher.

Jedenfalls: Was ihr hier seht – also dieses helle gartenschlauchartige Ding, das sich weiter unten so schön aufzweigt – ist meine Aorta, die Hauptschlagader des Körpers, die sauerstoffreiches Blut aus dem Herzen in die Organe leitet. Der Klumpen ganz oben ist mein Herz, darunter seht ihr rechts und links meine etwas schräg aufgehängten Nieren (was vermutlich damit zu tun hat, dass sich meine Leber auf der linken Seite ein wenig dick macht). Und ganz unten erkennt ihr ein seltsames Gewürm, über das ich noch haltlos mutmaßen werde.

Achtung! Da es sich um meine Bilder handelt, lehne ich mich mal ein bisschen aus dem Fenster und betreibe Kaffeesatzlesen. Ganz wichtig: Ich habe keine Ahnung und käme niemals auf die Idee, Bilder anderer Leute zu begutachten, geschweige denn meinen Senf dazu abzugeben. Betrachtet das, was jetzt folgt, also bloß nicht als taugliche Schablone, die ihr auf eure Aufnahmen übertragen könnt. Wartet bitte auf die Einschätzung eines Facharztes.

Meine Aorta

Also wenn ihr mich fragt, sieht meine Aorta total dufte aus. Mit geschlossenen Augen ein kleines bisschen gekrümmt vielleicht, aber zumindest dicht. Was meine ich mit gekrümmt?

Normalerweise verläuft die Aorta ziemlich gerade durch den Körper. Wenn das nicht der Fall ist, ist sie elongiert, also verlängert und stärker geschwungen als sie sein sollte.
Das sieht man oft bei älteren Menschen, deren Gefäße mit der Zeit einfach an Elastizität verloren haben, aber auch wenn zum Beispiel eine Skoliose vorliegt, also eine Verkrümmung der Wirbelsäule. Die Aorta passt sich dann sozusagen einfach an die veränderten Bedingungen an.
Ganz klassisch zeigt sich eine elongierte Aorta aber auch bei Menschen, die eine Bindegewebsstörung haben (wie das Ehlers-Danlos-, das Marfan-Syndrom oder die Hypermobility Spectrum Disorder). Verrückt! Denn ich habe ja eine Bindegewebsstörung – aber offensichtlich, wenn überhaupt, nur eine ganz minimalwinzig krumme Aorta. Trotzdem nehme ich sie mal als Aufhänger für einen wichtigen Reminder:
Mal ist eine elongierte Aorta harmlos, in anderen Fällen kann sie jedoch das Risiko von Komplikationen wie Aortenaneurysmen erhöhen. Ergo – ihr wisst, was jetzt kommt: Geht! Zur! Kontrolle!
Ich glaube, meine Aorta darf so. Aber ob das stimmt oder nicht: Ihr habt zumindest wieder ein bisschen was gelernt.

Das mysteriöse Gewürm

Aber was ist eigentlich dieses Gewürm da ganz unten im kleinen Becken? Mein erster Gedanke dazu war: Genau DA habe ich in letzter Zeit ständig Schmerzen. Also könnte das vielleicht venöses Gefäßgewürm sein, so verknotet, wie das aussieht. Also im Klartext: Krampfadern. Eine mögliche Erklärung: pelvines Stauungssyndrom, also Klappendefekte in den Venen des Beckens und der Eierstöcke – haben übrigens auch zwei weitere Ärzte vermutet, die ich kenne. Dagegen spricht allerdings, dass die Aufnahmen in der arteriellen Phase gemacht wurden (also kurz nachdem mir Kontrastmittel injiziert wurde) – denn es ging ja um die Darstellung der größten Arterie überhaupt, der Aorta. Venen sollten also nicht zu sehen sein, wenn ich das richtig kombiniere. Doch wenn dieses Gewürm Arterien sind, dann… warte ich lieber auf den Arztbrief und trink ne heiße Schokolade. Es wäre natürlich toll, wenn ich eine passende Erklärung für meine Beschwerden bekäme, aber ich schlag mich natürlich nicht um irgendwelche Auffälligkeiten.

Hat aber Spaß gemacht. 😋

Update: Meine Aorta ist laut Facharzt wirklich dufte. Aber mein Gedärm wird nur halbherzig versorgt, da ich eine Stenose in der Arteria mesenterica habe (das unterbrochene Zipfelchen, das bauchwärts aus meiner Aorta rauskommt, zu sehen in der Sagittalebene). Eventuell durch Verklebungen im Bauch durch die vielen Kaiserschnitte? Verrückt, denn genau deshalb hab ich mir vor einer Weile eine Überweisung für eine Darmdurchleuchtung geholt – um schauen zu lassen, WO es klebt. Ich merke ja, DASS was klebt. Trotzdem gut und richtig, dass ich Kaffeesatzlesen nur bei mir selbst betreibe. Ein bisschen wie der Versuch, Landkarten zu verstehen, um am Ende im Graben zu landen und über sich selbst zu schmunzeln. ☺️


Update 2: Eigentlich sollte ich erst im Oktober zur Kontrolle der entdeckten Stenose beim Angiologen erscheinen. Gestern besuchte ich dann noch eine chirurgischen Sprechstunde zur weiteren Abklärung. Plötzlich wurde netterweise noch ein Gefäßchirurg hinzugezogen, weil ich Cleverchen meine MRT-Bilder dabei hatte und diese Stenose somit vorzeigbar war. Der wiederum möchte jetzt ein Angio-CT haben und wenn sich dort das gleiche Bild zeigt, soll mein zugeschnürtes Gefäß geöffnet werden. Meine Hausärztin hatte allerdings mittlerweile die Übersicht verloren, deshalb gab es heute erstmal keine Überweisung dafür. Ich telefonierte also stundenlang mit sämtlichen Chefarztsekretärinnen der Klinik, wo ich eventuell operiert werden soll, um eine Lösung herbeizuführen. Diese beiden Damen waren so unendlich lieb und engagiert, schrieben sich alles auf und versprachen, mich so oder so bald in ein CT zu bringen. Letztendlich habe ich nun aber doch eine Überweisung von meiner Hausärztin bekommen, und muss jetzt abermals sämtliche Mitarbeiter der Klinik kontaktieren, damit sie meinen Fall ganz schnell vergessen. Was ein bürokratischer Wahnsinn. Alter Schwede.

Update 3: Das CT war natürlich unauffällig. Ich dreh durch… 😀 Aber immerhin hab ich jetzt eine sehr ansehnliche Bildersammlung meiner Innereien. Auch cool.